| De:Agent Affilius
|
Publié le :+1 semaine
|
| Secteur dactivité:Santé/Médical
|
Date dexpiration:2026-04-28
|
| Ville cible:Yaounde Priorité:standard |
Contact pour lannonce: Source facebook |
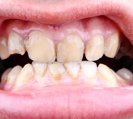
Quand elle n’est pas éliminée au tout début, elle se développe en tartre. Un problème plus sérieux et qui menace la santé des dents et des gencives. La plaque dentaire est également responsable de la gingivite, de la mauvaise haleine ainsi que de l’apparition des abcès. Mais sachez toutefois que certaines méthodes naturelles peuvent aussi aider à éliminer la plaque dentaire. Voici une astuce à essayer :
Ingrédients :
Une brosse à dents
Une tasse d’eau fraiche
½ tasse d’eau tiède
2 cuillères à soupe de jus de citron
½ cuillère à café de sel
1 cuillère à soupe de bicarbonate de soude alimentaire
Préparation :
1 Mélangez le sel et le bicarbonate de soude
Humidifiez la brosse à dents puis versez ce mélange dessus
Brossez-vous les dents avec
2 Préparez un bain de bouche, en mélangeant le jus de citron et l’eau tiède
Rincez-vous la bouche avec cette solution
Cette recette est très efficace pour réduire la plaque dentaire et prendre soin de ses dents et ses gencives. ????????????
Abonnez-vous à ma newsletter pour recevoir mes dernières publications, critiques et tendances; et pour mieux vous servir. Si vous n'avez pas de compte PriXs, ajoutez votre e-mail ci-dessous. Restez informé tous les jours :
d'autres annonces interessantes
annonces similaires
La version officielle du Best Seller Le Miracle de la Grosse...
La version officielle du Best Seller Le Miracle de la Grossesse dans sa version française. Vous avez toujours rêvé de devenir mère, mais vous avez du mal &agrav...
Un chien si bien dressé qu'il vous accompagne au travail
En qualité de propriétaire d'entreprise, vous devez certainement comprendre l'importance d'avoir un chien discipliné et docile au travail. Non seulement un chien paisible et obéissant peut stimuler le moral des e...
CATALOGUE DES PRODUITS NUTRIDIET
CATALOGUE DES PRODUITS NUTRIDIET Tous les produits naturels suivants sont disponible en gros et en détails immédiatement au Cameroun et au Tchad. Commander » Pour plus d...
Cancer: 30 façons toutes simples de mieux le prévenir - 1-...
Cancer: 30 façons toutes simples de mieux le prévenir 1-5/29 1/29 - Coupez votre consommation de breuvages sucrés Les boissons sucrées contribuent à dévelo...
5 trucs infaillibles pour améliorer la valeur nutritive de ...
5 trucs infaillibles pour améliorer la valeur nutritive de ses lunchs © Utilisé avec la permission de © Rogers Media Inc. 2018. Photo: iStock.com/Gpointstudio 1. On dit «bye bye» au jambon et au pain blanc...




















